POLITY
ARTICLE 324 IN CONSTITUTION OF INDIA
the conditions of service and tenure of office of the Election Commissioners and the Regional Commissioners shall be such as the President may by rule determine:
Provided that the Chief Election Commissioner shall not be removed from his office except in like manner and on the like grounds as a Judge of the Supreme Court and the conditions of service of the Chief Election Commissioner shall not be varied to his disadvantage after his appointment:
Provided further that any other Election Commissioner or a Regional Commissioner shall not be removed from office except on the recommendation of the Chief Election Commissioner.
BIOLOGY
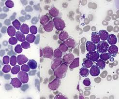
ACUTE LYMPHOBLASTIC LEUKEMIA (ALL)

- Acute lymphoblastic leukemia (ALL) is a cancer of the lymphoid line of blood cells characterized by the development of large numbers of immature lymphocytes.
- Acute lymphoblastic leukemia (ALL) is caused by acquired genetic mutations in GENE TP53.
INTERNATIONAL RELATIONS
STATEMENT
China is mediating between Pakistan and Afghan Taliban, who have been engaged in cyclic cross-border conflict since last year
INTERNATIONAL BODIES
THE UNHCR (UN REFUGEE AGENCY)
The UNHCR (UN Refugee Agency) is the UN organization mandated to protect and assist the over 122 million people worldwide forcibly displaced by persecution, conflict, and violence. Established in 1950, it provides lifesaving aid (shelter, food, medical care) and works to find lasting solutions
THAILAND TO HOST THE 2026 IMF–WORLD BANK ANNUAL MEETINGS
- Thailand to Host the 2026 IMF–World Bank Annual Meetings
- Thailand will advance its official theme: “Thailand’s New Horizons: Empowering People, Building Resilience”.
- International Public Procurement Conference 2026 under the theme of “Procurement for Prosperity”: the conference will explore how procurement can become a strategic driver for jobs, innovation, and national prosperity by 2030
- World Bank Thailand Young Economist Contest 2026 under the theme “Youth and Jobs”: Providing a platform for young people to contribute ideas toward resilient and sustainable economic development.
BRICS
- BRICS brings together eleven major emerging markets and developing countries of the world: Brazil, China, Egypt, Ethiopia, India, Indonesia, Iran, Russia, Saudi Arabia, South Africa, United Arab Emirates. It serves as a useful platform for consultation and cooperation on contemporary issues having global as well as regional significance, and issues of global political and economic governance.
- India’s BRICS Chairship is guided by the theme “Building for Resilience, Innovation, Cooperation and Sustainability”, reflecting a people-centric and humanity-first approach articulated by the Hon’ble Prime Minister at the 2025 Rio Summit.
NORTH ATLANTIC TREATY ORGANIZATION
- NATO’s purpose is to guarantee the freedom and security of its members through political and military means.
- it has the military power needed to defend every one of its members – as stated in Article 5,
- There are currently 32 members
GEOGRAPHY
LUHANSK REGION

- Russia claims troops have taken full control of Luhansk region
- Luhansk is a city in the Donbas in eastern Ukraine.
RICE’S WHALE (BALAENOPTERA RICEI) ENVIRONMENT AND ECOLOGY

- Rice’s whale (Balaenoptera ricei), also known as the Gulf of Mexico whale, is a species of baleen whale endemic to the northern Gulf of Mexico.
- It is listed as Critically Endangered in the IUCN Red List and protected under the United States Endangered Species Act.
- surface feeding has never been observed in Rice’s whales
- spending its day in deep water and night near the surface.
BIOTECHNOLOGY
QDENGA (TAK-003)
Qdenga (TAK-003) is Takeda’s live-attenuated tetravalent dengue vaccine designed to prevent dengue disease caused by any of the four dengue virus serotypes. Approved in over 40 countries, including the EU, UK, and several endemic nations
TECHNOLOGY
THE ARTEMIS II
- The Artemis II test flight will be NASA’s first mission with crew aboard the SLS (Space Launch System) rocket and Orion spacecraft.
- the astronauts who will venture around the Moon on Artemis II, the first crewed flight aboard NASA’s human deep space capabilities, paving the way for future lunar surface missions.
- mission crew, , includes Commander Reid Wiseman, Pilot Victor Glover, and Mission Specialists Christina Hammock Koch (NASA) and Jeremy Hansen (Canadian Space Agency).
DIGITAL SURAKSHA NETWORK (DSN)
Crypto exchange CoinDCX the launch Digital Suraksha Network (DSN), an initiative aimed at tackling cyber fraud and strengthening trust in India’s digital finance ecosystem.